湖北夏小中医院咨询热线:027-85881239

您现在的位置:湖北夏小中医院 > 医资团队 > - 立即咨询

股骨头坏死疼痛

该文章由湖北夏小中医院于发表在线预约咨询医生 137

  众所周知,股骨头坏死有“不死癌症”之称,因其病因多样、发病隐匿、治疗周期长、致残率高等特点,出现难治疗的问题。那么,究竟是什么原因导致的股骨头坏死难治疗呢?>>>不想看文章,直接咨询

  1、病因不明

  外伤、大量饮酒、激素服用过量等原因造成股骨头坏死已经被广大患者所熟知,但目前尚有几十种原因会造成股骨头坏死。病因的多样化及复杂化造成了股骨头坏死的难治疗。

  2、容易出现误诊

  股骨头坏死患者经常会出现髋部、腿部出现疼痛的症状,但因为腰腿部出现疼痛,股骨头周围出现的不适情况较少,因此常常容易被误诊为腰肌劳损、腰椎间盘突出、膝关节病,造成患者及医生的判断失误。>>>我这是不是股骨头坏死,医生帮我看一下!

  3、早期不易确诊

  很多大夫早期诊断上具有敏感性,但病人可能会不理解、不接受,不愿意去做一些检查,造成股骨头坏死早期不易确诊,从而耽误治疗。

  4、疼痛时重时轻

  股骨头坏死在发展过程中,会出现疼痛时重时轻的情况,当股骨头坏死持续时间越长的时候,人的痛觉会逐渐迟钝。而这样的迟钝感觉会给患者造成病情减轻的负面感受,从而中断治疗,造成股骨头坏是的恶化。

  股骨头坏死也并没有那么可怕,只要选择对治疗方法,谨遵医嘱,积极配合治疗,还是可以治疗好的。

  推荐阅读>>>股骨头坏死治疗效果如何 看片子说话

 

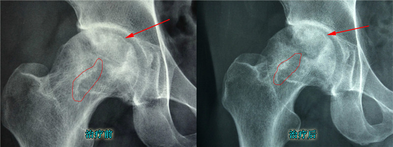
  河北户先生股骨头坏死治疗病例



 河北户先生自己也记不清楚是什么时候出现髋关节疼痛的,反正有一段时间了。因为疼痛加重、活动受限,在医院诊治,得知是股骨头坏死疾病,后辗转到我院治疗。

  入院时:股骨头边缘不光滑、边缘有塌陷、骨质破坏严重

  湖北夏小中医院采用以靶位体液渗透疗法为主的治疗方案,24小时使用中药外敷患处,活血生骨治疗。同时配合药浴、汤药口服等治疗方案,共同治疗,确保药效吸收,达到治疗股骨头坏死的目的。

  经过4个月的治疗:疼痛症状减轻,塌陷状况改善,骨质恢复

  局部对比图:骨质恢复明显

  经过治疗后,户先生感觉治疗效果很好,带药回家治疗。

  股骨头坏死是因为局部环境破坏造成股骨头缺血形成的病变,在治疗时,需要改善局部环境,促进血运恢复正常,达到治疗的目的。

  温馨小提示:如果您在股骨头坏死治疗过程中遇到不知如何治疗、考虑要不要置换等问题,可以咨询我们的值班医生>>>点击这里,直接咨询我们的值班医生,相信会对您有所帮助。祝您早日康复!

因为专业,所以更多人选择!

扫码获取路线

一键预约 方便快捷

咨询医生
预约挂号
QQ咨询
分享到:
鐩撮氳溅/
Direct

鎮ㄨ嫢涓嶆柟渚挎墦瀛楄鍦ㄤ笅妗嗚緭鍏ユ墜鏈哄彿鎴栨嫧鎵擄細027-85881239
鍖婚櫌浠嬬粛
/Introduction

澶忓皬涓尰闄㈢敱鍚嶅尰澶忓皬涓厛鐢熶簬20涓栫邯90骞翠唬鍒涘缓锛屾槸涓瀹朵笓涓氭不鐤楅楂撶値銆侀缁撴牳銆侀鍧忔銆佺被椋庢箍銆侀婀......銆 鏌ョ湅鏇村 銆

缁煎悎璇勫垎 鈽呪槄鈽呪槄鈽5.00

鏂囩珷&鎺ㄨ崘
/Recommend

湖北夏小中医院咨询热线:027-85881239